Ультразвуковая диагностика. Доктор Иогансен. Видеопримеры. Выпуск 5. Киста поджелудочной железы.
                        
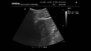
                        Представлены видеопримеры кисты головки поджелудочной железы, выявленной при ультразвуковом исследовании. Ссылка на Дзен: https://dzen.ru/doktor_jogansen
 Ссылка на RuTube: https://rutube.ru/channel/30442648/
 Ссылка на VK видео: https://vkvideo.ru/@club230531539/all
 Ссылка на YouTube:    / @dr.johansen      
                    
                    
 
  
             
  
            ![видео: Первые признаки панкреатита, как спасти поджелудочную железу?. [Шишова О.И.] картинка: Первые признаки панкреатита, как спасти поджелудочную железу?. [Шишова О.И.]](https://i.ytimg.com/vi/FGDQw99Yk-4/mqdefault.jpg) 
  
             
  
             
  
             
  
             
  
             
  
             
  
            